Ginocchio protesico performante: 7 segreti per mantenerlo al meglio nel lungo termine.

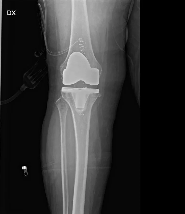
Radiografia di un ginocchio con protesi totale, utilizzata dal Dott. Fabrizio Bertelle per spiegare come mantenere nel tempo la funzionalità di un ginocchio protesico.

Protesi al ginocchio: come farla durare e funzionare al meglio per anni

La protesi al ginocchio è una soluzione potente per liberarti dal dolore cronico, recuperare mobilità e tornare a vivere senza limiti. Ma il risultato migliore, quello che dura nel tempo, non dipende solo dall’intervento: è il percorso post‑operatorio, la cura quotidiana e alcune attenzioni che fanno la differenza. Ecco come avere un ginocchio protesico performante nel lungo periodo: 7 segreti fondamentali, supportati da evidenze mediche, che ogni paziente dovrebbe conoscere.

1. Scegliere un impianto di qualità e una tecnica chirurgica esperta

La durata funzionale di una protesi al ginocchio inizia già in sala operatoria. La qualità dell’impianto, il design, il materiale, così come la precisione del posizionamento, sono essenziali. Un impianto ben allineato, stabile e fissato correttamente ha minor usura, minor rischio di allentamenti e risultati migliori a lungo termine. Un chirurgo esperto, che conosce bene le tecniche moderne, riduce i rischi sin da subito.

2. Riabilitazione e fisioterapia graduale e completa

Immediatamente dopo l’intervento la fisioterapia è indispensabile. A partire da esercizi per recuperare il range di movimento (ROM), passando attraverso il rafforzamento dei muscoli (quadricipite, ischio-crurali e glutei) e il lavoro sulla stabilità e sull’equilibrio. Studi clinici suggeriscono che continuare la fisioterapia anche dopo i primi mesi – quattro/cinque mesi – è fondamentale per ottenere prestazioni ottimali. 

3. Attività fisica a impatto controllato

Per proteggere la protesi al ginocchio ed evitare usura precoce, privilegia attività a basso impatto: camminata, nuoto, bicicletta, cyclette, attività acquatiche. Evita carichi pesanti, corsa su superfici dure, salti ripetuti. Queste attività “amiche” mantenere la mobilità senza stressare l’impianto. 

4. Mantenimento del peso corporeo e stile di vita sano

Ogni chilo in eccesso aggiunge circa 4 kg sull’articolazione. Mantenere un peso sano, seguire una dieta equilibrata e uno stile di vita attivo aiuta non solo il comfort, ma proietta la durata della protesi nel lungo termine. Preservare la forza muscolare, evitare fumo, controllare le condizioni generali (diabete, osteoporosi) sono tutti elementi che contribuiscono positivamente.

5. Follow‑up medico regolare e controlli radiografici

Anche dopo che il dolore è scomparso, è importante non “dimenticarsi” dell’impianto. Controlli medici periodici (annuali o comunque come stabilito dal chirurgo), radiografie per valutare l’assetto, possibili segni di usura, allentamenti, deformazioni, micro‑movimenti che possono compromettere la performance nel lungo periodo. Prevenire è meglio che curare. 

6. Attenzione alla qualità dell’osso e alla salute delle strutture circostanti

Muscoli forti, buona qualità ossea, salute dei tessuti molli (legamenti, tendini) sono determinanti. Trattamenti specifici in caso di osteoporosi, integrazione nutrizionale, attività fisica che stimoli osso e muscolo (senza danneggiare la protesi) sono essenziali. Un osso sano supporta meglio l’impianto.

7. Adattarsi alle nuove abitudini con pazienza

Anche dopo che sei tornato a camminare bene e a salire le scale, ci sono abitudini che potrebbero richiedere aggiustamenti: evitare posture estreme, evitare movimenti che stressano eccessivamente il ginocchio (accovacciarsi, stare in ginocchio) e usare scarpe comode. Ascoltarsi, capire i limiti e avanzare gradualmente è una parte fondamentale del successo sul lungo termine.

Indietro
Indietro

Cosa succede dopo l’intervento? Le 5 cose che il paziente non si aspetta